070 51 777 07
24/7 bereikbaar (lokaal tarief)
Logo Paardenkliniek De Raaphorst
  • De Raaphorst
  • Zorg & Behandeling
  • Hulp bij
  • Nieuws & Inzichten
  • Contact
Maak een afspraak

Zoeken

Logo Paardenkliniek De Raaphorst
  • De Raaphorst
  • Zorg & Behandeling
  • Hulp bij
  • Nieuws & Inzichten
  • Contact
Maak een afspraak
De Raaphorst
Over de kliniek
  • Over ons
  • Ons team
  • Vervoerservice
Zorg & Behandeling
Onderzoeken
  • Kreupelheidsonderzoek
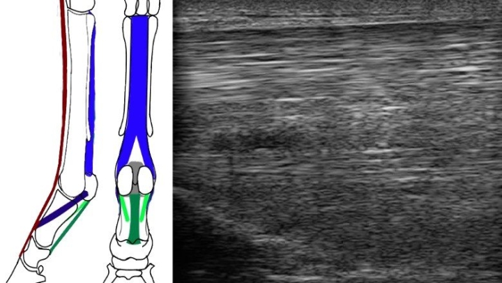
  • Peesscan (echografie)
  • Röntgenonderzoek bij het paard
  • Hals, rug en bekken onderzoek
  • UTC (Ultrasound Tissue Characterisation)
  • Aankoopkeuring
  • Maagscopie bij het paard
  • Bronchoscopie | Luchtwegscopie
  • Gebitsbehandeling
  • Bloedonderzoek bij paarden
  • Mestonderzoek
Behandelaanbod
  • Gewrichtsinjectie paard
  • IRAP behandeling voor paarden
  • PRP behandeling paard
  • Stamcel therapie bij paarden
  • Polyacrylamide gel voor paarden met artrose
  • Tildren infusen
  • Mesotherapie
  • Shockwave therapie
  • Laser therapie bij paarden
Tandheelkunde
Voeding
  • Voeding en gezondheid
  • Voedingsconsult en voedingsadvies
  • Overgewicht bij paarden
  • Insulineresistentie
  • Voeding voor hoefbevangen paarden
Hulp bij
Beenproblemen en kreupelheid
  • Kreupelheid
  • Peesblessures bij paarden | Peesontsteking
  • Artrose bij paarden
  • Hoefbevangenheid
Wervelkolom problemen
  • Halsproblemen bij het paard
  • De anatomie van de hals
  • Artrose van de facetgewrichten van de hals
  • Aanhechtingsproblemen van de nekband
  • Slijmbeursontsteking in de hals
  • Rugproblemen
  • Anatomie van de rug
  • Artrose van het facetgewricht in de rug
  • Kissing Spines
  • Rugband blessures
  • Bekkenproblemen
Prestatieproblemen
  • Maagzweren
Overige aandoeningen
  • Oogproblemen
  • Huidproblemen
  • Mok
  • PPID
  • Rhinopneumonie
  • Droes
  • Atypische myopathie
  • Equine Infectieuze Anemie (EIA)
  • Habronemiasis

Nieuws

Coronavirus (COVID-19)

Nieuws

Coronavirus (COVID-19)

25 maart 2020
3 min
Nieuwsbrief voorjaar 2019

Evenementen

Nieuwsbrief voorjaar 2019

4 juni 2019
1 min
Tussenpees blessures | Nieuwe publicatie paardenarts

Nieuws

Tussenpees blessures | Nieuwe publicatie paardenarts

4 juni 2019
1 min
Nieuwsbrief december 2018

Nieuws

Nieuwsbrief december 2018

21 december 2018
1 min
Lasertherapie bij paarden

Kliniekinformatie, Nieuws

Lasertherapie bij paarden

27 juli 2017
1 min
Infectieuze anemie bij paarden (EIA)

Nieuws

Infectieuze anemie bij paarden (EIA)

30 juni 2017
1 min
Nieuw Röntgensysteem

Kliniekinformatie, Nieuws

Nieuw Röntgensysteem

23 december 2016
2 min
Klantenavond 13 december 2016

Evenementen, Nieuws

Klantenavond 13 december 2016

17 november 2016
1 min
Peespoli Franklin Lashley en Hans van Schie van start!

Kliniekinformatie, Nieuws

Peespoli Franklin Lashley en Hans van Schie van start!

11 november 2016
3 min
  • 1
  • 2
Logo Paardenkliniek De Raaphorst
Wassenaarseweg 89
2223 LA Katwijk aan Zee
KvK: 85836613
BTW nr: NL863760806B01
+31(0)70 51 777 07
dierenarts@paardenkliniek.com

De Raaphorst

  • Over de kliniek

Zorg & Behandeling

  • Onderzoeken
  • Behandelaanbod
  • Tandheelkunde
  • Voeding

Hulp bij

  • Beenproblemen en kreupelheid
  • Wervelkolom problemen
  • Prestatieproblemen
  • Overige aandoeningen
Blijf op de hoogte van praktijknieuws, artikelen en paarden(geneeskunde).
  • Algemene voorwaarden
  • Privacyverklaring
  • Cookies
© 2026 Paardenkliniek De Raaphorst Website door Pluut
WhatsApp WhatsApp