Stamcel therapie bij paarden

Stamceltherapie is een veel belovende therapie voor verschillende orthopedische problemen. Zowel bij paarden als in de humane geneeskunde wordt stamcel therapie toegepast bij peesblessures en gewrichtsproblemen. Stamcellen hebben de potentie om zich te kunnen delen en ontwikkelen tot andere type cellen of weefsels waardoor ze het herstel bij verschillende blessures kunnen stimuleren. Veel mensen denken dat stamcellen in staat zijn om een geblesseerde pees of een beschadigd gewricht weer als nieuw te maken, dat is helaas (nog) niet zo. Stamcellen hebben vooral een aansturende rol in het herstelproces bij blessures en kunnen daardoor het herstel enorm stimuleren.

Wat zijn stamcellen?

Stamcellen zijn cellen die zich kunnen vermenigvuldigen en zich ook kunnen ontwikkelen tot een ander celtype of weefsel. De meest universele stamcellen bevinden zich in een embryo, deze cellen kunnen zich ontwikkelen tot een compleet organisme. Naarmate het embryo zich ontwikkelt tot een foetus gaan deze cellen zich verder specialiseren in drie specifieke soorten stamcellen. Deze drie  soorten stamcellen vormen de drie kiemlagen van de foetus, de kiemlagen gaan zich verder ontwikkelen tot de verschillende organen en onderdelen van het lichaam. De cellen in het ectoderm (buitenste kiemlaag) zullen zich gaan ontwikkelen tot onder andere huid, haar en zenuwcellen. Het endoderm gaat zich hoofdzakelijk ontwikkelen tot darmen en inwendige organen. Het mesoderm vormt uiteindelijk  het skelet, spieren, pezen en bloedcellen.

Bij de specialisatie in de verschillende kiemlagen verliezen de stamcellen de mogelijkheid om zich te ontwikkelen tot een heel ander type stamcel. Een stamcel uit het mesoderm kan zich dus nooit meer ontwikkelen tot een huid of darmcel. Bij paarden hebben we helaas niet de beschikking over embryonale stamcellen. Volwassen paarden hebben echter wel volwassen stamcellen in bijna elk type weefsel. Mesenchymale stamcellen zijn volwassen stamcellen die van oorsprong uit het mesoderm komen. Dit zijn stamcellen die zich kunnen ontwikkelen tot onder andere bot, pees en kraakbeencellen. Mesenchymale stamcellen zijn onder andere te isoleren uit het bloed, vetweefsel, beenmerg en spierweefsel.

Autologe of allogene stamcellen?

Het is mogelijk om bij elk paard bloed, vetweefsel of beenmerg af te nemen en daar stamcellen uit te isoleren, vermeerderen en vervolgens te laten ontwikkelen tot het gewenste type cel. We hebben het dan over autologe, lichaamseigen, stamcellen. Het nadeel van autologe stamcellen is dat het kweken en ontwikkelen 2 tot 4 weken kost. Dat is kostbare tijd en maakt het heel lastig om  een peesblessure 2 weken na het ontstaan te behandelen. Een ander nadeel van autologe stamcellen is dat de kwaliteit variabel is. Zo hebben oudere paarden over het algemeen kwalitatief minder goede stamcellen dan jongere dieren.

Het alternatief voor autologe stamcellen zijn allogene stamcellen, deze komen van een donor paard. Deze stamcellen zijn in een laboratorium gekweekt en ontwikkelt tot peescellen of kraakbeencellen. Wij maken meestal gebruik van allogene stamcellen omdat de kwaliteit van deze preparaten streng worden gecontroleerd waardoor wij de veiligheid en werking kunnen waarborgen. Een ander groot voordeel is dat we de stamcel preparaten kant en klaar hebben liggen en dus direct kunnen inzetten wanneer het nodig is.

Het effect van stamcel therapie bij paarden

Stamcellen zijn zeer flexibel en kunnen in theorie een nieuwe pees of een nieuwe laag kraakbeen vormen in een gewricht. Maar helaas is de techniek nog lang niet zover dat we een nieuwe pees kunnen kweken of een gewricht met artrose kunnen herstellen. De ontwikkelingen staan echter niet stil en misschien dat dit in de toekomst wel mogelijk wordt. Stamcellen zijn daarnaast zeer gevoelig voor de omgeving waar ze zich in bevinden. Ze gaan zich afhankelijk van de signalen die ze ontvangen vanuit de omgeving ontwikkelen tot een bepaald type cel en dit bepaalt voor een deel ook de functie die ze gaan uitoefenen. Dit ontwikkelingsproces heeft bij allogene stamcellen al plaats gevonden, deze zijn al ontwikkeld tot pees of kraakbeencellen. Maar ook ontwikkelde stamcellen blijven erg gevoelig voor de omgeving en zullen bijvoorbeeld minder goed functioneren in een ontstoken milieu.

Stamcellen gaan dus zelf niet zozeer nieuw weefsel vormen maar kunnen wel een hele grote bijdrage leveren in het herstel van verschillende soorten weefsels. Ze dirigeren als het ware het herstelproces. Dit doen ze door het ontstekingsproces te remmen en groeifactoren te produceren, ook zorgen ze voor een stimulatie van de celdeling. Hierdoor zal het herstelde weefsel uiteindelijk van betere kwaliteit zijn. Op dit moment worden stamcellen bij paarden vooral toegepast bij verschillende orthopedische blessures zoals peesblessures en gewrichtsproblemen. Op basis van onze ervaring en de wetenschappelijke literatuur lijken stamcellen vooral effectief bij peesblessures en kraakbeenbeschadigingen in een gewricht.

Het gebruik van stamcellen bij peesblessures


Doordat stamceltherapie leidt tot een verbeterde kwaliteit van het herstelweefsel zijn stamcellen een hele goede behandelmethode voor peesblessures. Het gebruik van stamcellen leidt tot een betere kwaliteit van het littekenweefsel, het littekenweefsel wordt namelijk minder stug. Doordat de pees als geheel minder inboet aan elasticiteit na stamcel therapie neemt de kans op her-blessures in de toekomst af.

Niet alle peesblessures zullen echter optimaal profijt hebben van stamceltherapie. Met name vrij recente, 1 tot 4 weken oude, blessures komen in aanmerking voor stamcel therapie. Hoe ouder de blessure is des te minder invloed we nog kunnen uitoefenen op het herstelproces. Verder is ook het formaat en de locatie van de blessure een belangrijke factor die van grote invloed is op het effect van stamcel therapie. Bij hele kleine blessures, of blessures aan de buitenrand van een pees, kan stamceltherapie zeker het herstel stimuleren. Alleen zal het effect minder groot zijn dan bij een grotere blessure in het hart van een pees. Bij een peesblessure in een slijmbeurs is het vaak ook mogelijk om de stamcellen in de slijmbeurs te injecteren om het herstel van de pees te bevorderen.


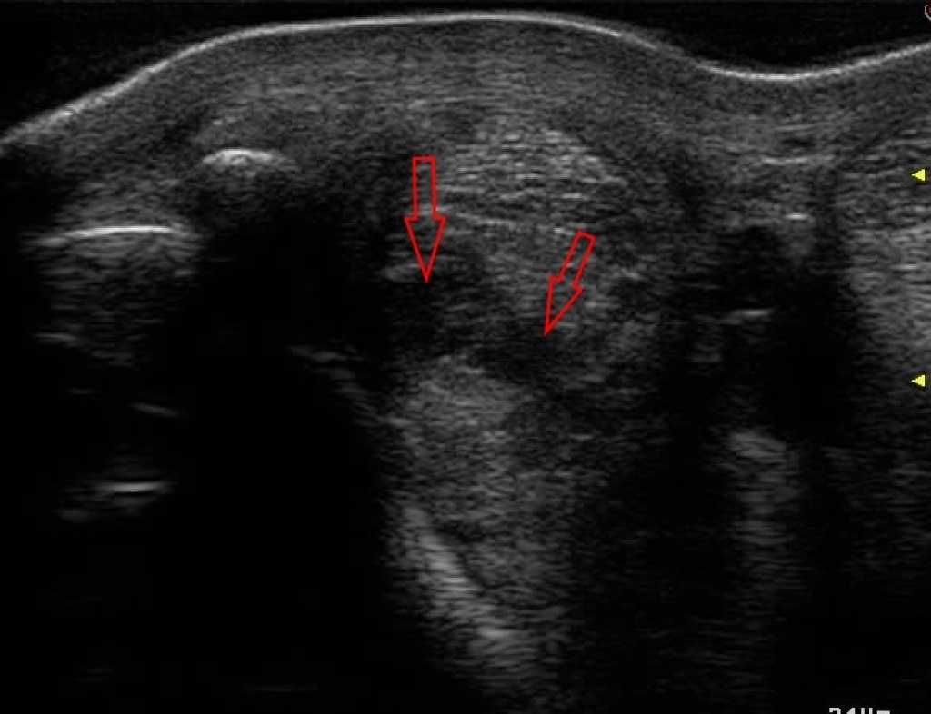
Dwarsdoorsnede van een blessure in een tussenpees tak.
artrose paard

Het gebruik van stamcellen in gewrichten bij artrose


Er zijn verschillende onderzoeken gedaan naar het effect van stamcel therapie bij artrose. Vooral uit studies in de humane geneeskunde blijkt dat stamcel therapie leidt tot vermindering van de ontstekingsreactie in het gewricht en daardoor leidt tot vermindering van de pijn. Ook zijn er een aantal publicaties waaruit blijkt dat de kwaliteit van het kraakbeen licht verbeterde maar de hoeveelheid en dikte van het kraakbeen niet duidelijk toenam. Stamcel therapie is dus zeker ook effectief bij artrose maar heeft meestal maar een tijdelijk effect. Dit komt onder andere omdat stamcellen minder goed functioneren in een ontstoken milieu.

Verder kunnen bij lokale kraakbeen beschadigingen in een gewricht stamcellen een groot verschil maken in het herstel. Ook bij meniscusblessures en artrose in de knie bij paarden is  wetenschappelijk aangetoond dat stamcellen een positieve invloed hebben op het herstel. De kwaliteit van het littekenweefsel in de meniscus en de kwaliteit van het kraakbeen was beter. Dit vertaalde zich in een grotere kans op herstel en terugkeer in de sport.


Hoe gaat een behandeling met stamcellen in zijn werk?

Bij een gewrichtsprobleem injecteren we de stamcellen in het gewricht net zoals bij een gewrichtsinjectie. Bij peesblessures injecteren we de stamcellen onder echografische begeleiding in de blessure, zo weten we zeker dat ze op de juiste plek terecht komen. Veelal zullen we voor dit soort injecties het paard sederen en eventueel lokaal verdoven zodat deze goed stilstaat.

Klaar voor de beste zorg voor jouw paard?

Maak direct een afspraak voor persoonlijk advies van onze specialisten.