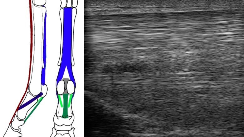
Tussenpees blessures | Nieuwe publicatie paardenarts

We hebben weer een informatief artikel over tussenpeesblessures geschreven, deze is te lezen op paardenarts.

Tussenpees blessures